Vi anbefaler at du alltid bruker siste versjon av nettleseren din.

Stor variasjon i behandling av hoftebrudd

Avdelingsoverlege og ortopedspesialist Cato Kjærvik ved Nordlandssykehuset Vesterålen har funnet ut at det er store variasjoner i etterlevelse av kunnskapsbaserte retningslinjer. Pasienter i Norge får med andre ord ikke lik behandling ved hoftebrudd.

Helen K. Langfors Åsli
Publisert 26.05.2023
Sist oppdatert 28.07.2025
Cato
– Jeg ønsker at dette skal føre til en diskusjon i fagmiljøet, til det beste for pasientene, sier Cato Kjærvik ved Nordlandssykehuset Vesterålen.
​Avdelingsoverlege og ortopedspesialist Cato Kjærvik ved Nordlandssykehuset Vesterålen har funnet ut at det er store variasjoner i etterlevelse av kunnskapsbaserte retningslinjer. Pasienter i Norge får med andre ord ikke lik behandling ved hoftebrudd.
 
– Jeg ønsker at dette skal føre til en diskusjon i fagmiljøet, til det beste for pasientene, sier Kjærvik.

Dødeligheten er stor blant hoftebruddpasienter. Hoftebrudd etter 65 år er en stor påkjenning for kroppen og gir en betydelig økt risiko for å dø. Nær 23 prosent dør første året etter skaden, hvilket er betydelig høyere enn forventet. I Norge skjer det ett hoftebrudd i timen, litt i underkant av 9 000 brudd i året.

På tross av etablerte kunnskapsbaserte retningslinjer, som ikke har endret anbefalinger fra 2011, er det store ulikheter mellom sykehusene i etterlevelsen av disse retningslinjene. Kunnskapsbaserte retningslinjer forteller hvilken behandling som virker best ut fra tilgjengelig forskning, og som dermed gir best prognose for pasientene.


Uberettiget vari​asjon

– De viktigste risikofaktorene kan vi ikke påvirke, som alder og sykelighet, men det er like fullt en del risikofaktorer som vi har kontroll på. Her hviler det et spesielt ansvar på helsetjenesten å sørge for at disse reduseres, blant annet gjennom å følge retningslinjene. Innad i Nordlandssykehuset har vi brukt denne kunnskapen til å bedre våre forløp, sier Kjærvik.

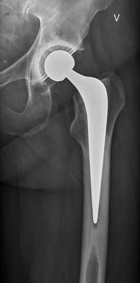
Røntgenbilde av hofteprotese

Røntgenbildet viser sementert hofteprotese i venstre hofte, som er standard behandling for lårhalsbrudd ute av stilling hos pasienter med godt funksjonsnivå. Bildediagnostisk avdeling, Nordlandssykehuset Vesterålen.

Det gir best utfall for pasientene om retningslinjer etterleves. Data fra Nasjonalt hoftebruddregister viser at det er store forskjeller mellom norske sykehus i valg av behandlingsform for hoftebrudd. Har sykehustype, organisering av ortopediske helsetjenester, pasientvolum og geriatritilbud betydning for behandlingen pasientene får? Er det geografisk variasjon i overlevelse etter hoftebrudd? Hvilke faktorer forklarer i så fall variasjonen? Er det sammenheng mellom kvalitet i kommunale helse­ og omsorgstjenester og i pasientrapportert livskvalitet?

Studien viser ikke et klart mønster i hva som påvirker etterlevelse av retningslinjer. Det er sykehus med høy grad av etterlevelse i alle regioner, av alle størrelser og med store forskjeller i tilbud. Tilsvarende hos de med lav etterlevelse.

– Individtilpasset medisin vil føre til at noen pasienter har behov for en tilpasset behandling, men det er ingen grunn til at andelen som trenger tilpasset behandling, skal variere betydelig mellom sykehus i Norge.

Sykehusenes praksis varierer betydelig innenfor flere områder. I forskningsprosjektet målte man om pasienten ble behandlet innen 48 timer (nasjonal kvalitetsindikator), av en erfaren kirurg eller om man fikk behandling etter forskjellige bruddspesifikke retningslinjer. Innenfor alle områdene var det en spredning på over 20 prosent mellom de som fulgte retningslinjene i størst og minst grad.

– Vi ser at på enkelte anbefalinger varierer det fra 0 til 100 prosent etterlevelse, som anbefalingen om å bruke sementert protesestamme ved behandling av hoftebrudd med protese. Dette kan ikke forklares ut fra forskjeller i pasientpopulasjonene, men oppfattes som et uttrykk for uberettiget variasjon. For å forstå og forbedre helsetjenestene, er det viktig å innta et fugleperspektiv for å få et mer helhetlig bilde.
Hva er det som egentlig påvirker faglig praksis i sykehusene? Hva har sterke fagpersoner og lokale faglige forbilder å si for hvilken behandling sykehuset velger for sine pasienter, spør Kjærvik.


Betydelig risiko​

Mange av pasientene venter også for lenge på operasjon. De største sykehusene har lengst ventetid, noe som medfører økt risiko for død. Noen pasienter kan tjene på å vente på en behandling på en forbigående tilstand, mens de som tåler operasjon, tjener på å få det gjort så snart som mulig. Både for å bedre pasientens prognose, men også av menneskelige hensyn. Å bli sengeliggende og hjelpeløs over tid er ikke gunstig for noen.

Ventetid til operasjon etter hoftebrudd er et område som er satt ekstra fokus på i form av at andelen opererte innen 24 og 48 timer er nasjonale kvalitetsindikatorer.

– Ventetid er noe som i betydelig grad er avhengig av sykehusenes organisering, og dermed er mulig å redusere. Vi så i studien at den britiske indikatoren om å bli operert innen dagen etter innleggelse har noe for seg. Både ut fra redusert dødelighet, men også ut fra et pasientperspektiv hvor en ekstra natt er en betydelig belastning, sier Kjærvik.

Kjærvik skal fortsette å forske på hoftebruddpasientene, fortsatt i tett samarbeid med Nasjonalt hoftebruddregister og SKDE. Nå er det fokus på livskvalitet etter hoftebrudd. De pasientrapporterte utfallene er viktige og nyttige, men er utsatt for en betydelig svarseleksjon. Kjærvik skal vurdere hvordan seleksjon kan påvirke resultatene. Planen er å ha en artikkel klar til publisering før sommeren 2023.​

Om prosjektet

​Alle 42 000 pasienter i tidsrommet 2014-18 med hofteleddsbrudd er en del av studien. Data er hentet fra en kartlegging av alle 43 sykehus i Norge som rutinemessig behandler hoftebrudd, Nasjonalt hoftebruddregister, Norsk Pasient-register (NPR) og Statistisk sentral-byrå (SSB).

Om fagfeltet​

Nesten 9000 personer opplever årlig hoftebrudd. En stor andel av pasientene opplever redusert livskvalitet i forløpet. Nær ¼ dør innen ett år etter skaden.

​Om forskningsgruppen

Avdelingsoverlege Cato Kjærvik disputerte i 2022 med Ph.d.-avhandlingen «Hip fractures in Norway – Inequity in treatment and outcomes». Studien er en del av prosjektet «Likeverdige helsetjenester - uansett hvor du bor? – Et regionalt forskningssamarbeid for å forstå geografisk og uberettiget variasjon i helsetjenestebruk, medisinsk praksis og behandlingsresultater», ledet av Senter for klinisk dokumentasjon  og evaluering (SKDE), prosjektleder Eva Stensland. Finansiert av Helse Nord RHF.

​​Referanser​

Kjærvik, C., Stensland E., Gjertsen J. E., Saltyte-Benth, J., & Søreide, O.(2022). Modifiable and non-modifiable risk factors in hip fracture mortality in Norway, 2014–2018 a multi-registry study. Bone Jt, 2022.07.01.

Kjærvik, C., Gjertsen J.E., Engesæter, L. B., Stensland E., & Søreide, O.
(2021). Waiting time for hip fracture surgery: hospital variation, causes, and effects on postoperative mortality: data on 37,708 operations reported to the Norwegian hip fracture register from 2014–2018. Bone Jt Open. 2021 Sep;2(9):710-720.

Kjærvik, C., Stensland E., Byhring, H. S., Gjertsen J.E., Dybvik, E., & Søreide, O. (2020). Hip fracture treatment i Norway. Deviation from evidence-based treatment guidelines: Data from the Norwegian hip fracture register, 2014 to 2018. BoneJointOpen;2020;1-10:644-653.